症例集
叢生[そうせい](歯並びがガタガタ)
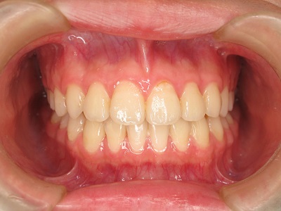
症例①
Before
After
| 年齢 | 9歳 | 治療期間 | 4年11ヶ月 |
| コメント | 叢生症例で1期治療からスタートし、非抜歯で治療を行いました。 | ||
-
- Before





-
- After





| 年齢 | 9歳 | 治療期間 | 4年11ヶ月 |
| コメント | 叢生症例で1期治療からスタートし、非抜歯で治療を行いました。 | ||
症例②
Before
After
| 年齢 | 27歳 | 治療期間 | 2年4ヶ月 |
| コメント | 叢生症例で非抜歯希望の患者様でした。 | ||
-
- Before





-
- After





| 年齢 | 27歳 | 治療期間 | 2年4ヶ月 |
| コメント | 叢生症例で非抜歯希望の患者様でした。 | ||
症例③
Before
After
| 年齢 | 18歳 | 治療期間 | 2年11ヶ月 |
| コメント | 歯列の狭窄を伴う叢生症例。小臼歯4本抜歯して治療を行いました。 | ||
-
- Before





-
- After





| 年齢 | 18歳 | 治療期間 | 2年11ヶ月 |
| コメント | 歯列の狭窄を伴う叢生症例。小臼歯4本抜歯して治療を行いました。 | ||
症例④
Before
After
| 年齢 | 21歳 | 治療期間 | 2年11ヶ月 |
| コメント | 叢生症例です。八重歯が気になると治療した患者様です。 | ||
-
- Before





-
- After





| 年齢 | 21歳 | 治療期間 | 2年11ヶ月 |
| コメント | 叢生症例です。八重歯が気になると治療した患者様です。 | ||
症例⑤
Before
Process
After
| 年齢 | 13歳 | 治療期間 | 2年6ヶ月 |
| コメント | 歯列に狭窄を伴う叢生症例です。小臼歯4本を抜歯し、治療を行いました。 | ||
-
- Before





-
- Process





-
- After





| 年齢 | 13歳 | 治療期間 | 2年6ヶ月 |
| コメント | 歯列に狭窄を伴う叢生症例です。小臼歯4本を抜歯し、治療を行いました。 | ||
症例⑥
Before
After
| 年齢 | 20歳 | 治療期間 | 2年1ヶ月 |
| コメント | 開咬を伴う叢生症例です。非抜歯で治療を行いました。 | ||
-
- Before





-
- After





| 年齢 | 20歳 | 治療期間 | 2年1ヶ月 |
| コメント | 開咬を伴う叢生症例です。非抜歯で治療を行いました。 | ||
下顎前突[かがくぜんとつ](受け口で悩んでいる)
症例①
Before
After
| 年齢 | 33歳 | 治療期間 | 2年7ヶ月 |
| コメント | 骨格的に下顎前突の患者様で小臼歯4本を抜歯し、治療を行いました。 | ||
-
- Before





-
- After





| 年齢 | 33歳 | 治療期間 | 2年7ヶ月 |
| コメント | 骨格的に下顎前突の患者様で小臼歯4本を抜歯し、治療を行いました。 | ||
上顎前突[じょうがくぜんとつ](出っ歯が気になる)
症例①
Before
Process
After
| 年齢 | 17歳 | 治療期間 | 2年6ヶ月 |
| コメント | 出っ歯が主訴の患者様です。上顎小臼歯のみ抜歯し、治療を行いました。 | ||
-
- Before





-
- Process





-
- After





| 年齢 | 17歳 | 治療期間 | 2年6ヶ月 |
| コメント | 出っ歯が主訴の患者様です。上顎小臼歯のみ抜歯し、治療を行いました。 | ||
症例②
-
- Before





-
- After





| 年齢 | 27歳 | 治療期間 | 2年5ヶ月 |
| コメント | 過蓋咬合を伴う上顎前突の症例です。非抜歯にて治療を行いました。 | ||
過蓋咬合[かがいこうごう](咬み合わせが深すぎる)
症例①
Before
After
| 年齢 | 27歳 | 治療期間 | 2年5ヶ月 |
| コメント | 過蓋咬合を伴う上顎前突の症例です。非抜歯にて治療を行いました。 | ||
開咬[かいこう](上の前歯と下の前歯の間に隙間が…)
症例①
Before
Process
After
| 年齢 | 10歳 | 治療期間 | 4年9ヶ月 |
| コメント | 開咬の症例です。1期治療からスタートし、非抜歯で治療を行いました。 | ||
-
- Before





-
- Process





正中離開[せいちゅうりかい](すきっ歯がコンプレックス)
-
- After





| 年齢 | 10歳 | 治療期間 | 4年9ヶ月 |
| コメント | 開咬の症例です。1期治療からスタートし、非抜歯で治療を行いました。 | ||
症例①
Before
After
| 年齢 | 20歳 | 治療期間 | 0年9ヶ月 |
| コメント | 正中離開の改善のみの部分矯正を行いました。 | ||
-
- Before





-
- After





| 年齢 | 20歳 | 治療期間 | 0年9ヶ月 |
| コメント | 正中離開の改善のみの部分矯正を行いました。 | ||





















